It looks like you are using an older version of Internet Explorer which is not supported. We advise that you update your browser to the latest version of Microsoft Edge, or consider using other browsers such as Chrome, Firefox or Safari.

재생 버튼을 누르시면 해당 내용을 음성으로 들으실 수 있습니다.

습성 연령관련 황반변성은 만성 퇴행성 질환이므로 항-혈관내피성장인자(anti-VEGF) 치료를 받는 동안 환자와 보호자, 그리고 의료진과 함께 질병의 진행을 관찰해야 합니다. 

습식 황반변성의 진행 상황을 관찰할 수 있는 방법 1,2,3
‘암슬러 격자’로 불리는 흑백의 격자로 시력을 측정하여 습성 연령관련 황반변성의 진행 정도를 관찰할 수 있습니다.

습성 연령관련 황반변성 증상이 없을 때 보이는 암슬러 격자
습성 연령관련 황반변성 증상이 있을 때 보이는 암슬러 격자

습성 연령관련 황반변성 증상이 없을 때 보이는 암슬러 격자 (왼쪽), 
습성 연령관련 황반변성 증상이 있을 때 보이는 암슬러 격자 (오른쪽)

암슬러 격자를 사용해 시력을 테스트하는 방법

  1.  암슬러 격자를 다운로드하여 프린터로 인쇄합니다.
  2.  평상 시 집에서 독서를 가장 많이 하는 공간에서 평소 사용하는 조명을 이용하세요.
  3.  평소 독서할 때 착용하는 안경을 착용하세요.
  4.  암슬러 격자를 눈에서 약 30~38cm정도 거리를 두고 떨어뜨려 놓습니다.
  5.  한쪽 눈씩 개별적으로 테스트합니다: 한쪽 눈을 가리고  다른 쪽 눈을 테스트합니다.
  6.  눈금을 격자의 중앙에 있는 점에 집중하고 다음 질문에 답합니다.
  • 격자의 선들 중 어느 하나라도 물결치거나 흐릿하거나 삐뚤어진 것처럼 보이나요?
  • 격자의 모든 박스가 정사각형 모양이고 크기가 같습니까?
  • 격자에 지워진 영역이나 어두운 영역이 있습니까?
  • 격자의 중앙 점을 주시하면서 모든 모서리와 측면을 함께 볼 수 있습니까?

      7. 반대쪽 눈으로 바꿔서 반복합니다 

특이 사항이 있을 경우, 담당 의료진과 상담하는 것이 좋습니다. 암슬러 격자에서 잘 보이지 않는 부분에 표시를 해 병원 방문 시 가지고 가세요. 

의료진이 권장하는 만큼, 시력 변화를 느낄 때마다 암슬러 격자를 사용하여 시력을 확인하세요. 

안구 관리 전문가가 습성 연령관련 황반변성의 진행을 확인하는 방법
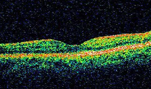
담당 의료진은 광간섭단층영상(OCT) 검사 등 시력 검진법을 사용해, 안구의 뒷부분을 특수 촬영함으로써 질병의 진행을 확인합니다. 안구 뒷부분에 이미지를 생성하는 비침습적 검사 방법인 광간섭단층영상(OCT) 검사는 의료진이 삼출물의 유무 등 질병의 변화를 확인하는데 도움이 되는 검사 방법입니다.

건강한 눈의 OCT 이미지

습성 연령관련 황반변성이 있는 눈의 OCT 이미지(왼쪽)
건강한 눈의 OCT 이미지(오른쪽)

습성 연령관련 황반변성을 위한 항-혈관내피성장인자 치료와 삼출물의 의미에 대해 더 알아보려면 여기를 클릭하세요.

 

References 

1Schwartz R, Loewenstein A. Early detection of age-related macular degeneration: current status. Int J Retina Vitreous. 2015;1:20. 
2 American Academy of Ophthalmology. Have AMD? Save Your Sight with an Amsler Grid. Available at: https://www.aao.org/eye-health/tips-prevention/facts-about-amsler-grid-daily-vision-test. Accessed July 2019 

3 American Macular Degeneration Foundation. Amsler Chart to Test Your Sight. Available at: https://www.macular.org/amsler-chart. Accessed July 2019.